ചൈനയിൽ പുതിയ വൈറസ് വ്യാപിക്കുന്നു; ചികിത്സയില്ല, വാക്സിനും

ചൈനയിൽ പുതിയ വൈറസ് വ്യാപിക്കുന്നു; ചികിത്സയില്ല, വാക്സിനും

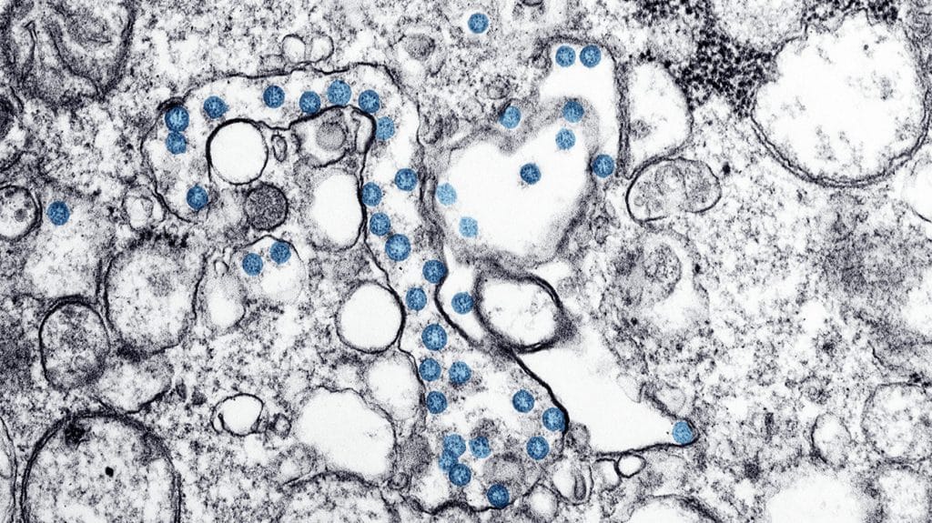
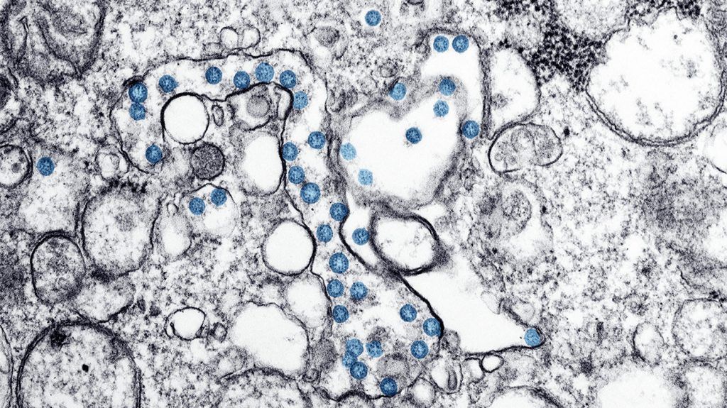
ബീജിങ്: ചൈനയിൽ വീണ്ടും മാരക വൈറസ് വ്യാപിക്കുന്നതായി റിപ്പോർട്ടുകൾ. ഹ്യൂമൻ മെറ്റന്യൂമോവൈറസ് (എച്ച്എംപിവി) വ്യാപകമായി രോഗബാധ ഉണ്ടാകുന്നതായാണ് സമൂഹമാധ്യമങ്ങളിലൂടെ ലഭിക്കുന്ന വിവരങ്ങൾ. എന്നാൽ, ഇക്കാര്യങ്ങൾ ചൈനയോ ലോകാരോഗ്യ സംഘടനയോ സ്ഥിരീകരിച്ചിട്ടില്ല. അതേസമയം, ഉറവിടമറിയാത്ത ന്യുമോണിയ കേസുകൾ നിരീക്ഷിക്കാൻ പ്രത്യേകം സംവിധാനം ഏർപ്പെടുത്തിയെന്ന് ചൈനയുടെ രോഗ നിയന്ത്രണ അഥോറിറ്റി വെളിപ്പെടുത്തിയിട്ടുണ്ട്.

ശ്വാസകോശത്തെ ബാധിക്കുന്ന അണുബാധയാണ് എച്ച്എംപിവി. ചെറിയ കുട്ടികൾ, പ്രായമായവർ, പ്രതിരോധശേഷി കുറഞ്ഞവർ തുടങ്ങിയവരെയാണ് ഈ വൈറസ് കൂടുതലായി ബാധിക്കുന്നതെന്നാണ് റിപ്പോർട്ടുകൾ.‌

നിലവിൽ ഹ്യൂമൻ മെറ്റാപ്‌ന്യൂമോവൈറസിന് പ്രത്യേക ചികിത്സയോ വാക്‌സിനോ ലഭ്യമല്ലെന്നും വിദ​ഗ്ധർ വ്യക്തമാക്കുന്നു.

ശൈത്യകാലത്ത് ശ്വാസകോശ സംബന്ധമായ രോഗങ്ങൾ ഉയരാനിടയുണ്ട്. 2001 ലാണ് എച്ച്എംപിവി വൈറസ് ആദ്യമായി കണ്ടെത്തുന്നത്. ചുമ, പനി, ശ്വാസം മുട്ടൽ എന്നിവയാണ് ഇ‌തിന്‍റെ പ്രധാനപ്പെട്ട ലക്ഷണങ്ങളെന്ന് വിദ​ഗ്ധർ വ്യക്തമാക്കുന്നു.

ചിലർക്ക് ജലദോഷത്തിന് സമാനമായ നേരിയ ലക്ഷണങ്ങൾ മാത്രമേയുണ്ടാവൂ. ചിലരിൽ കൊവിഡിന് സമാനമായ ലക്ഷണങ്ങൾ ഉണ്ടാവും. ചുമയ്ക്കുമ്പോഴോ തുമ്മുമ്പോഴോ വായും മൂക്കും മൂടുക, ഇടയ്ക്കിടെ കൈകഴുകുക തുടങ്ങിയ ചില മുൻകരുതലുകൾ സ്വീകരിക്കേണ്ടത് അത്യാവശ്യമാണ്. ഇൻഫ്ലുവൻസ എ, എച്ച്എംപിവി, മൈകോപ്ലാസ്മ ന്യൂമോണിയ, കോവിഡ് -19 എന്നിവയുൾപ്പെടെ ഒന്നിലധികം വൈറസുകളുടെ വർധനവ് ചൈന നേരിടുന്നതായുളള റിപ്പോർട്ടുണ്ട്.

Read more

സംസ്ഥാനത്ത് അടുത്ത മൂന്ന് മണിക്കൂറിൽ ശക്തമായ മഴ; 5 ജില്ലകളിൽ ഓറഞ്ച് അലർട്ട്

സംസ്ഥാനത്ത് അടുത്ത മൂന്ന് മണിക്കൂറിൽ ശക്തമായ മഴ; 5 ജില്ലകളിൽ ഓറഞ്ച് അലർട്ട്

അടുത്ത മൂന്ന് മണിക്കൂറിൽ അഞ്ച് ജില്ലകളിൽ കനത്ത മഴയ്ക്ക് സാധ്യതയെന്ന് മുന്നറിയിപ്പ്. തിരുവനന്തപുരം, കൊല്ലം, കാസർകോഡ്, പത്തനംതിട്ട, മലപ്

മെയ് 3ലെ നീറ്റ് യുജി 2026 പരീക്ഷ റദ്ദാക്കി, പരീക്ഷ വീണ്ടും നടത്താൻ തീരുമാനം; പുതിയ രജിസ്‌ട്രേഷൻ ആവശ്യമില്ല

മെയ് 3ലെ നീറ്റ് യുജി 2026 പരീക്ഷ റദ്ദാക്കി, പരീക്ഷ വീണ്ടും നടത്താൻ തീരുമാനം; പുതിയ രജിസ്‌ട്രേഷൻ ആവശ്യമില്ല

മെയ് 3ലെ നീറ്റ് യുജി 2026 പരീക്ഷ റദ്ദാക്കി, പരീക്ഷ വീണ്ടും നടത്താൻ തീരുമാനം. മറ്റൊരു തീയതിയിൽ പരീക്ഷ വീണ്ടും നടത്താൻ നാഷണൽ ടെസ്റ്

വിരാട് കോലിയെ അപകീർത്തിപ്പെടുത്താൻ മാധ്യമങ്ങൾ പണം വാഗ്ദാനം ചെയ്‌തു; വെളിപ്പെടുത്തലുമായി ജർമൻ മോഡൽ

വിരാട് കോലിയെ അപകീർത്തിപ്പെടുത്താൻ മാധ്യമങ്ങൾ പണം വാഗ്ദാനം ചെയ്‌തു; വെളിപ്പെടുത്തലുമായി ജർമൻ മോഡൽ

ഇന്ത‍്യൻ ക്രിക്കറ്റ് താരം വിരാട് കോലിയെ പറ്റി മോശം കാര‍്യങ്ങൾ പറഞ്ഞാൽ പണം നൽകാമെന്ന് പറഞ്ഞ് ചില മാധ‍്യമസ്ഥാപനങ്ങൾ തന്നെ സമീപിച്ചിരുന്